
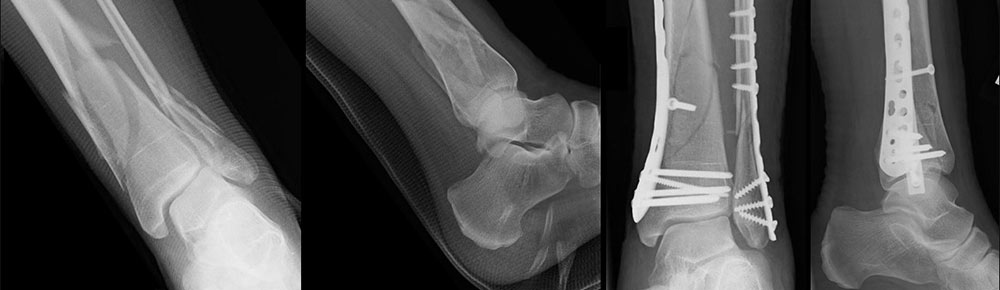
Wir behandeln das breite Spektrum der unfallchirurgischen Verletzungen, vom einfachen Knochenbruch bis hin zu komplexen Traumata und deren Folgen.
Serviceinformationen
Unfallchirurgie

Wir behandeln das breite Spektrum der unfallchirurgischen Verletzungen, vom einfachen Knochenbruch bis hin zu komplexen Traumata und deren Folgen.